
En chirurgie orthopédique, la planification préopératoire est une étape incontournable et un moyen efficace pour les chirurgiens de prévoir les éventuelles difficultés opératoires et commencer à cibler le choix des implants. Or, afin de s’assurer de la meilleure solution possible, ces derniers doivent prendre en compte de nombreux critères : tableau clinique du patient, type d’intervention, choix du modèle de prothèse, implantation de la prothèse …
Dans de nombreux cas de figures, les caractéristiques anatomiques osseuses spécifiques des patients les contraignent à commander une multitude de prothèses pour être sûr de disposer du matériel adéquat lors du déroulement de l’opération. Ce mode de fonctionnement est problématique
Comment limiter les surcoûts et optimiser la gestion des ressources médicales ? Comment s’assurer que la technique chirurgicale et l’implant soit les plus efficaces possibles ?
Nous avons conçu un logiciel de reconstruction 3D et détection des points anatomiques des chevilles, hanches et genoux. Cette solution permet notamment aux chirurgiens de pouvoir visualiser précisément en préopératoire la constitution du patient afin d’établir les différentes opérations nécessaires.
Les chirurgiens bénéficient d’une technologie qui leur fait gagner du temps et de la précision dans la planification de leurs opérations.
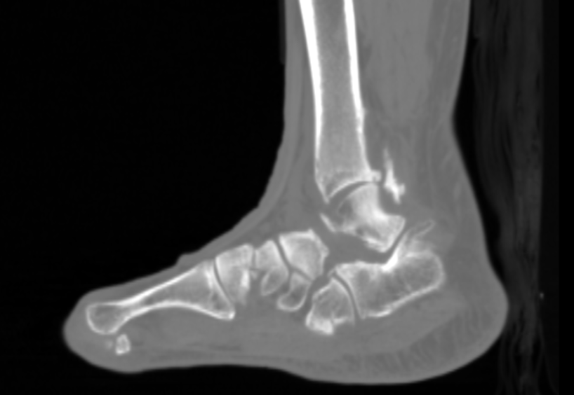
Neovision a développé une solution permettant la reconstruction 3D des os du membre inférieur et la détection des points anatomiques (landmarking). Nous nous sommes basés sur un algorithme de deep learning et sur les données standard en imagerie médicale DICOM (série de surface plane 2D superposées qui crée un volume).
Reconstruction 3D
Cette fonctionnalité consiste à automatiser la tâche de reconstruction effectuée manuellement par des spécialistes médicaux en utilisant à la place un algorithme. Ce processus automatique résout un problème de segmentation 3D qui permet d’obtenir très précisément les os du membre inférieur (pelvis, fémur, tibia) et surtout les zones articulaires qui sont les plus complexes et les plus importantes pour le chirurgien. Pour cela, nous avons transformé les données DICOM en format Nifti (format de données adapté au deep learning pour les tâches 3D). La représentation de la segmentation est un nuage de point qui décrit la surface de l’os (définit les contours de chaque os).
Détection de points anatomiques
Neovision a développé un algorithme de landmarking, à savoir, l’identification de points anatomiques stratégiques pour chaque os (dôme tibial, dôme talaire dans le cadre de la cheville par exemple). Pour cela, nous nous sommes basés sur les connaissances des chirurgiens orthopédiques pour créer une base de données de points anatomiques nécessaires au bon déroulement de la chirurgie.
La combinaison de ces deux approches permet aux chirurgiens de pouvoir évaluer avant opération qu’elle sera la décision chirurgicale la plus optimale (choix de la prothèse, positionnement de la prothèse, comment effectuer la découpe de l’os).
18 juillet 2023
Computer Vision, Deep Learning, Imagerie 3D, R&D, Santé